Tuberculosis: Región de Antofagasta es la tercera del país en acumular más casos
Llaman a consultar ante posibles síntomas de la enfermedad, conoce sus características y cómo recibir tratamiento. Hubo 130 pacientes con esta patología el año pasado.
La Región de Antofagasta es el tercer lugar a nivel país, que concentra la mayor cantidad de casos de tuberculosis, situación frente a la cual la Seremi y el Servicio de Salud realizaron una capacitación para los funcionarios del Hospital Carlos Cisternas de Calama.
La enfermera referente del programa de Tuberculosis del Servicio de Salud, Patricia Pérez, indica que "la importancia epidemiológica que tiene esta enfermedad que todavía existe y es contagiosa, es que se puede transmitir de persona a persona, sobre todo si se tiene un contacto prolongado con el caso inicial".
"En la región tenemos alrededor de 130 casos al año, que se han mantenido en el transcurso de estos tres últimos años. Mensualmente aparecen de 10 a 12 casos de tuberculosis en la región", detalla la profesional.
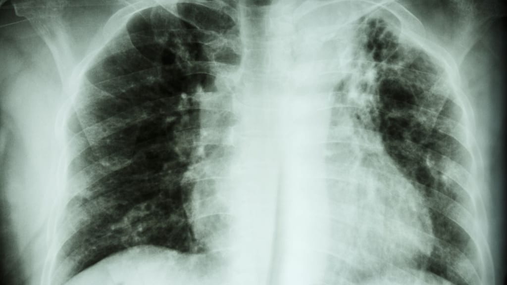
¿Qué es la tuberculosis?
La tuberculosis es una enfermedad infecciosa causada por la bacteria Mycobacterium tuberculosis, que afecta principalmente los pulmones. Pero también puede dañar otros órganos del cuerpo, como los riñones, el cerebro y los huesos.
Es una de las enfermedades más mortales del mundo, con aproximadamente 1.5 millones de muertes cada año, principalmente en países de bajos ingresos.
¿Qué síntomas presenta y cómo detectarla?
Patricia Pérez, explica que "la persona que tiene tos más de quince días, y que además tiene factores de riesgo, como ser mayores de 75 años, ser contacto de un caso índice (paciente cero de la enfermedad), ser extranjero de países con alta incidencia de tubertuculosis o baja de peso importante, debe consultar en el consultorio".
"En cada consultorio hay un equipo de tuberculosis que le hace una muestra, una radiografía de tórax y un control médico. Con eso se determina si tiene o no esta enfermedad", señala la enfermera.
Si experimenta síntomas de la enfermedad o ha estado en contacto cercano con alguien que la tiene, es importante buscar atención médica de inmediato.
¿Cómo se contagia?
La tuberculosis se transmite de persona a persona a través del aire, cuando una persona infectada tose, estornuda o habla, las bacterias pueden liberarse en el aire y otras personas pueden inhalarlas.
La mayoría de las personas que están expuestas a la bacteria no se enferman inmediatamente, en su lugar, el sistema inmunológico forma una capa protectora llamada tubérculo alrededor de las bacterias.
Pero en algunas personas, el sistema inmunológico no puede controlar la bacteria y desarrollan la enfermedad.
¿Cuál es el tratamiento para esta enfermedad?
El tratamiento de la tuberculosis involucra la administración de múltiples medicamentos durante un período de seis a nueve meses, como rifampicina, isoniazida, pirazinamida y etambutol.
Las personas deben completar todo el curso de tratamiento, para evitar la resistencia a los medicamentos y una mayor propagación de la enfermedad.
Con un diagnóstico temprano las personas pueden recuperarse y prevenir la propagación de la enfermedad.
"La meta de ministerial es que se nos muera menos del uno por cada cien mil habitantes, pero no hemos llegado a esa meta", puntualiza la enfermera referente del programa de Tuberculosis de la Seremi de Salud en la Región de Antofagasta, Pamela Ríos.
el miércoles pasado a las 16:38
el martes pasado a las 14:30
el miércoles pasado a las 16:38
el martes pasado a las 14:30



20 de febrero de 2026
Los tres funcionarios y sus familiares directos no podrán ingresar a Estados Unidos por realizar actividades que comprometieron infraestructuras críticas de telecomunicaciones.

17 de febrero de 2026
17 de febrero de 2026

5 de noviembre de 2025
5 de noviembre de 2025
21 de octubre de 2025
5 de noviembre de 2025
5 de noviembre de 2025
Un conductor intentó atropellar a un funcionario de Carabineros para evadir un control, que se generó tras sorprender al sujeto circulando en contra del sentido del tránsito.
El ente estableció uno de los abogados asesores del Municipio, justificaba sus pagos a honorarios con causas judiciales que estaban cerradas antes de su gestión.
El procedimiento se llevó a cabo en el marco de las acciones previas para la demolición del inmueble, que será reemplazado por un edificio de 13 pisos aproximadamente.
Tras ser localizados, el equipo de emergencia logró llegar hasta los jóvenes aproximadamente a las 17:30 horas del martes, donde se encontrabas en condiciones de salud estables.
El conductor fue agredido tras un altercado, donde debió ser hospitalizado tras la fractura en la órbita de un ojo y la pérdida de piezas dentales.
El beneficio está disponible desde el 16 de febrero y el monto asciende a los $66.834 por carga o por familia, de acuerdo al tipo de beneficiario.
El persecutor Eduardo Ríos, habría presentado su renuncia a través de una carta. Antes de su salida, denunció al fiscal Juan Castro Bekios por maltrato laboral.
El operativo resultó con un detenido, chileno mayor de edad, mientras que cargamento ilícito estaría avaluado en más de 12 mil millones de pesos.
Los jóvenes fueron divisados con vida, mientras se estima que el equipo de emergencia podrá concretar el rescate con los jóvenes en aproximadamente cuatro horas
Luego de la reprogramación de la audiencia, la solicitud de la Fiscalía de Antofagasta fue rechazada de forma unánime por el tribunal de alzada de Santiago.
















































































































