Antofagasta mantiene alta incidencia de tuberculosis con 136 nuevos casos en 2024
En 2024 se registraron 136 nuevos casos de tuberculosis en la zona, lo que mantiene a la región entre las tres con mayor incidencia. La seremi de Salud hizo un llamado a la prevención y detección temprana, especialmente en las poblaciones de riesgo.
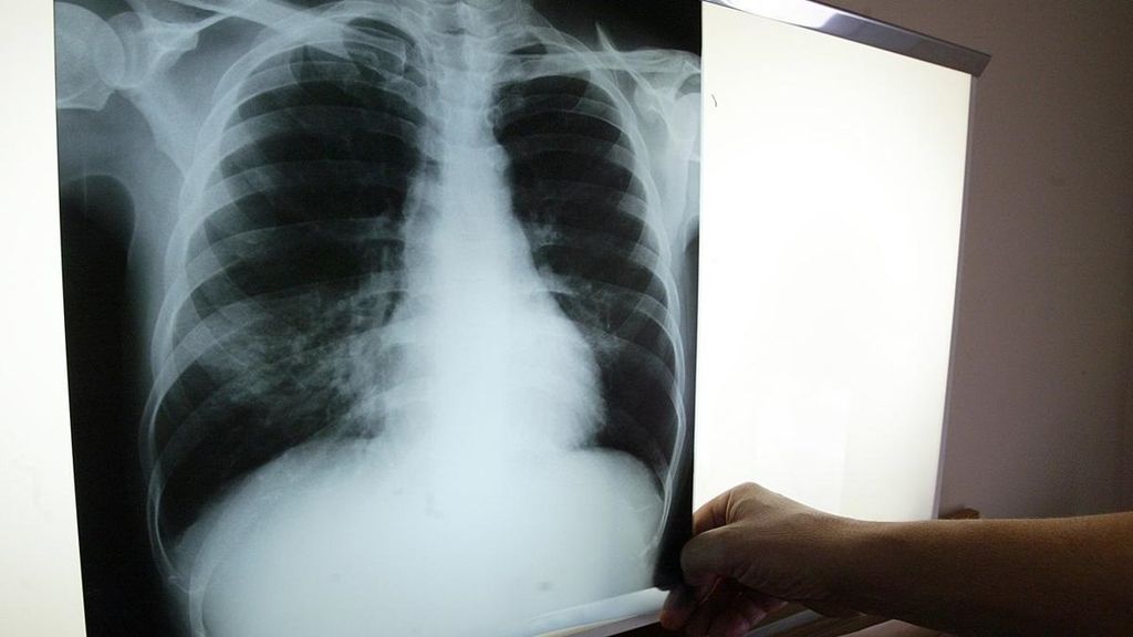
Durante 2024, la región de Antofagasta reportó un total de 136 nuevos casos de tuberculosis, cifra que la mantiene entre las tres regiones con mayor incidencia de la enfermedad en Chile. Así lo indicó la seremi de Salud (s), Leonor Castillo, quien resaltó la gravedad de la situación y enfatizó la importancia de la vigilancia sanitaria. "La tuberculosis no está erradicada de nuestro país. Cada año se detectan más de 2 mil 500 casos a nivel nacional. Es fundamental que estemos informados y alerta ante los posibles síntomas, sobre todo en las poblaciones de riesgo", destacó la autoridad.
Para contextualizar, la tuberculosis es una enfermedad infecciosa causada por la bacteria Mycobacterium tuberculosis o bacilo de Koch, que afecta principalmente los pulmones, aunque puede comprometer otros órganos del cuerpo. Se transmite por el aire a través de las gotas microscópicas que expulsa una persona infectada al toser, lo que permite que otras personas sanas inhalen la bacteria.
En 2023, la tasa de incidencia nacional de tuberculosis alcanzó los 15,8 casos por cada 100 mil habitantes, lo que representa un aumento de 1,4 puntos respecto al año anterior. En la región de Antofagasta, la tasa en 2024 fue de 18,9 casos por cada 100 mil habitantes, superior a la media nacional y solo superada por Tarapacá y Arica y Parinacota.
El Día Mundial de la Tuberculosis, celebrado el 24 de marzo, destacó la importancia de la prevención y detección temprana. Christián Lombardi, referente del programa de tuberculosis de la Seremi de Salud, explicó que el síntoma más común de la enfermedad es la tos con flema que dura más de dos semanas, junto con fiebre, sudoración nocturna y pérdida de peso. "El diagnóstico es gratuito en el sistema público de salud para todos los ciudadanos, sin importar su previsión de salud", indicó Lombardi.
Asimismo, las personas con un sistema inmune debilitado, como adultos mayores, personas con diabetes, VIH positivo o en situación de calle, son especialmente vulnerables. Además, los migrantes provenientes de países con alta incidencia de tuberculosis, como Bolivia y Perú, representan más de la mitad de los casos confirmados en la región.
Finalmente, con el objetivo de sensibilizar sobre la enfermedad y sus riesgos, la seremi de Salud hizo un llamado a seguir las recomendaciones de prevención y a buscar atención médica ante los primeros síntomas.



20 de febrero de 2026
Los tres funcionarios y sus familiares directos no podrán ingresar a Estados Unidos por realizar actividades que comprometieron infraestructuras críticas de telecomunicaciones.

17 de febrero de 2026
17 de febrero de 2026

5 de noviembre de 2025
5 de noviembre de 2025
21 de octubre de 2025
5 de noviembre de 2025
5 de noviembre de 2025
Un conductor intentó atropellar a un funcionario de Carabineros para evadir un control, que se generó tras sorprender al sujeto circulando en contra del sentido del tránsito.
El ente estableció uno de los abogados asesores del Municipio, justificaba sus pagos a honorarios con causas judiciales que estaban cerradas antes de su gestión.
El procedimiento se llevó a cabo en el marco de las acciones previas para la demolición del inmueble, que será reemplazado por un edificio de 13 pisos aproximadamente.
Tras ser localizados, el equipo de emergencia logró llegar hasta los jóvenes aproximadamente a las 17:30 horas del martes, donde se encontrabas en condiciones de salud estables.
El conductor fue agredido tras un altercado, donde debió ser hospitalizado tras la fractura en la órbita de un ojo y la pérdida de piezas dentales.
El beneficio está disponible desde el 16 de febrero y el monto asciende a los $66.834 por carga o por familia, de acuerdo al tipo de beneficiario.
El persecutor Eduardo Ríos, habría presentado su renuncia a través de una carta. Antes de su salida, denunció al fiscal Juan Castro Bekios por maltrato laboral.
El operativo resultó con un detenido, chileno mayor de edad, mientras que cargamento ilícito estaría avaluado en más de 12 mil millones de pesos.
Los jóvenes fueron divisados con vida, mientras se estima que el equipo de emergencia podrá concretar el rescate con los jóvenes en aproximadamente cuatro horas
Luego de la reprogramación de la audiencia, la solicitud de la Fiscalía de Antofagasta fue rechazada de forma unánime por el tribunal de alzada de Santiago.



















































































































